Объемное образование печени: код МКБ

Нетрадиционная медицина

Если опухоль не прогрессирует, размеры ее не увеличиваются, помочь может нетрадиционная медицина. Лечащий врач даст рекомендации по лечению заболевания народными методами.

При выборе лекарственных растений важно учитывать общее самочувствие больного – травы могут оказаться не только неэффективными, но губительными, если имеются сопутствующие патологии.

Если противопоказания отсутствуют, для терапии кистозных новообразований наиболее эффективным будет использование тысячелистника, чистотела, лопуха, коровяка, и подмаренника. Отвары этих лекарственных растений способствуют рассасыванию опухолей малых размеров.

Действенным средством является лопух, а именно сок из данного растения. Для приготовления лекарства листья молодого лопуха тщательно моют и пропускают через мясорубку. Затем из полученной кашицы с помощью марли выжимают сок и принимают его по 2 столовых ложки перед едой. Средство пригодно к употреблению в течении 3-х суток, хранить его следует в холодильнике. Лечебный курс длится месяц, затем нужно повторно пройти обследование. Терапию при необходимости можно повторить.

Положительных результатов можно достичь и при использовании чистотела. Сок данного растения принимают в неразбавленном виде или изготавливают на его основе настойку. В первом варианте из растения нужно выжать сок, оставить на некоторое время настаиваться, затем процедить и принимать по следующей схеме: растворить в 1 ч. л. воды 1 каплю средства и выпить, дозу лекарства ежедневно увеличивать на 1 каплю и довести таким образом до 10 капель, затем нужно сделать перерыв в лечении на 10-15 дней.

Настойку из этого растения также легко приготовить: соединить в равных количествах спирт и сок чистотела, состав настаивать на протяжении 7 дней. Употреблять по 10 капель в течение 20 дней, после двухнедельного перерыва повторить курс.

Очень эффективным методом лечения кистозных новообразований является употребление перепелиных яиц. По утверждению знахарок, если в течение 20-и дней ежедневно употреблять натощак 5 сырых яиц паразитарные кисты печени полностью рассасываются.

Положительных результатов от всех вышеуказанных методов лечения можно достичь только при условии соблюдения назначенного режима.

КТ

Капиллярная гемангиома печени

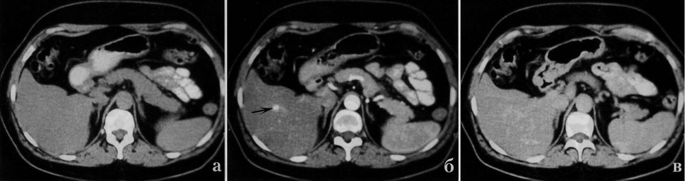
Капиллярная гемангиома печени на КТ имеет однородную структуру, что вызывает трудности выявления ее на компьютерных томограммах, в то время как при УЗИ эта опухоль хорошо визуализируется. При контрастном усилении капиллярные гемангиомы начинают окрашиваться в артериальную фазу, в венозную фазу их окрашивание нарастает, в отсроченную венозную фазу они остаются гиперденсивными относительно паренхимы (фото КТ выше).

Кавернозная гемангиома печени

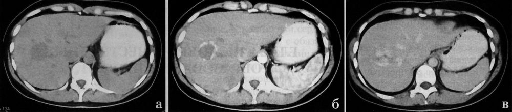
Кавернозная гемангиома печени в своей структуре может содержать бесформенные участки с более низким денситометрическим показателем, что является отображение гиалиноза и дегенеративных изменений. По этим причинам большие гемангиомы требуют дифференциальной диагностики с другими образованиями (гепатомой). Фиброзные рубцы в кавернозных гемангиомах придают опухоли пестрый вид (фото КТ выше). Зона краевого накопления расширяется по направлению к центру, поскольку кровь внутри гемангиомы медленно течет от периферических синусов к центральным. Максимальное контрастирование наступает в поздней паренхиматозной фазе, когда опухоль окрашивается полностью. На томограммах гемангиомы печени при адекватном контрастировании выглядят как гиперденсивные образования, в силу накопления контрастного вещества интерстициальным компонентом опухолевой ткани. Это очень специфичный признак гемангиомы печени. К сожалению, описанную выше перфузию с центростремительным усилением и поздним заполнением показывают, примерно, 54% гемангиом.

Убедительные признаки гемангиомы можно получить даже без применения методики болюсного контрастирования. Достаточно ввести в кубитальную вену обычным шприцом, максимально быстро 40-60 мл контрастного препарата. В этом случае гемангиома также проявится типичным окрашиванием от периферии к центру, но интенсивность такого окрашивания будет слабым, и в отсроченную фазу образование не проявится гиперинтенсивностью, а будет изоинтенсивно с паренхимой.

Артериовенозная мальформация

Симулировать гемангиому может аномальное развитие сосудов, представляющее артериовенозную мальформацию. Эта аномалия также проявляется в артериальную фазу контрастного усиления ярко окрашенным очагом, но интенсивность его быстро убывает в последующие фазы исследования (фото КТ выше).

Цирроз печени и его классификация по МКБ

Цирроз печени — это хроническое прогрессирующее заболевание, характеризующееся замещением здоровой ткани печени соединительной тканью. Это приводит к нарушению структуры и функции печени.

В Международной классификации болезней (МКБ) Цирроз печени имеет свой код — К74. Классификация по МКБ позволяет систематизировать и классифицировать заболевания, включая цирроз печени, для удобства медицинской статистики и исследований.

МКБ предлагает следующую классификацию цирроза печени:

  1. К74.0 Алкогольный цирроз печени: развивается вследствие хронического злоупотребления алкоголем.
  2. К74.1 Печеночный цирроз, вызванный вирусом гепатита C: развивается вследствие хронической инфекции вирусом гепатита C.
  3. К74.2 Печеночный цирроз, вызванный вирусом гепатита B: развивается вследствие хронической инфекции вирусом гепатита B.
  4. К74.3 Печеночный цирроз, вызванный вирусом гепатита D: развивается вследствие хронической инфекции вирусом гепатита D.
  5. К74.4 Печеночный цирроз, вызванный вирусом гепатита E: развивается вследствие хронической инфекции вирусом гепатита E.
  6. К74.5 Печеночный цирроз, вызванный вирусами гепатита G: развивается вследствие хронической инфекции вирусами гепатита G.
  7. К74.6 Печеночный цирроз, вызванный другими инфекционными агентами: развивается вследствие хронической инфекции другими инфекционными агентами, кроме вирусов гепатита.
  8. К74.7 Печеночный цирроз, вызванный лекарственными средствами и ядами: развивается вследствие длительного приема определенных лекарственных препаратов или ядов.
  9. К74.8 Печеночный цирроз, вызванный другими уточненными причинами: развивается вследствие других уточненных причин, не входящих в предыдущие категории.
  10. К74.9 Печеночный цирроз, неуточненный: неуточненные случаи цирроза печени, в которых невозможно определить причину развития заболевания.

Классификация цирроза печени по МКБ помогает врачам и исследователям более точно определять причину заболевания, разрабатывать эффективные методы лечения и проводить статистические анализы для изучения распространенности и динамики заболеваемости циррозом печени.

Лечение

Как правило, доброкачественные опухоли печени, протекающие без клинической симптоматики, не требуют лечения. Однако пациент должен постоянно наблюдаться у гепатолога для оценки характера роста образования. При использовании гормональных препаратов (особенно контрацептивов женщинами) решается вопрос об их отмене. В некоторых случаях (при гепатоцеллюлярной карциноме) это приводит к регрессу образования, если оно является гормонозависимым.

При крупных размерах опухоли, сдавлении кровеносных сосудов или желчевыводящих путей производится ее удаление с резекцией доли печени. Также оперативному удалению подлежат кистозные образования с высоким риском разрыва и кровотечения. Доброкачественные опухоли печени часто гормонозависимые, поэтому даже при небольших размерах могут удаляться у женщин, планирующих беременность.

Лечение раковых опухолей

Основные методы лечения злокачественных новообразований прописаны в справочнике мкб 10. К ним относится оперативное вмешательство и паллиативное лечение.

Своевременное комплексное лечение дает возможность прогнозировать лучший результат.

Если печень поражена первичной опухолью и нет противопоказаний к проведению оперативного вмешательства, то проводят удаление злокачественного новообразования и применяют химиотерапию для угнетения раковых клеток, которые присутствуют в организме и возможно начали свое распространение. Выбирая тактику лечения, онколог основывается на следующих показаниях:

  • величина новообразования;
  • количество опухолей, которые поразили печень;
  • локализация злокачественных опухолей;
  • сопутствующие патологии (такие как цирроз печени и другие болезни);
  • наличие метастазов;
  • клиническую картину воротной вены (место сбора крови со всех органов брюшной полости).

Рак удаляется двумя основными методами. Это резекция очага с локализованной опухолью и радикальный метод с пересадкой органа. Но, к сожалению, на сегодняшний день, данные способы борьбы с онкологией имеют свои ограничения. Во-первых, при поражении раком воротной вены, операцию не проводят, поскольку существует практически сто процентная вероятность развития кровотечения. Во-вторых, рак часто сопровождается циррозом. А при такой клинической картине хирургическое вмешательство только усугубит состояние.

В – третьих, пересадка затрудняется поиском доноров, которые подходили бы по всем параметрам и стоимостью данной процедуры, а она достаточно велика. Четвертый момент, если печень была пересажена, то пациенту необходимо длительное время принимать специальные препараты – иммунодепрессанты. Они способствуют снижению иммунитета. В данном случае появляется риск появления рецидивов болезни.  И в-пятых, операция по удалению злокачественной опухоли возможна только в том случае, если рак не пустил метастазы.

Последние достижения науки позволили внедрить новые методы борьбы с раком. Это лечение с применением направленной лазерной энергии и энергии тепла. Данные методы используются при выявлении опухоли на ранних стадиях.

Из всего описанного выше, выходит, что процент больных, для излечения которых применяют хирургическое вмешательство достаточно низкий, согласно медицинской статистики он не превышает тридцатипроцентный барьер. Остальные же семьдесят относятся к числу неизлечимых, к ним применяют методы симптоматического лечения. К ним относятся использование медицинских препаратов, облучения и химиотерапии.

Химические препараты достаточно быстро вызывают привыкание организма и как следствие отмечается их эффективность. Во избежание такого эффекта введения химического вещества осуществляется через печеночную артерию, что позволяет ему воздействовать только на клетки печени.

Химиотерапия имеет ряд побочных эффектов:

  • тошнота;
  • рвота;
  • выпадение волос;
  • слабость и плохое самочувствие.

Для устранения данных побочных симптомов назначаются специальные лекарственные препараты и специальная диета. Правильное сбалансированное питание позволяет восстановить организм после химиотерапии и облучении.

Симптомы

Проявления патологии могут быть различными. При типичной клинической картине выделяют:

  • тяжесть и боли в эпигастральной области и в подреберье справа после приёма пищи или физической нагрузки;
  • диспепсические явления (тошнота и рвота, отрыжка, нарушения стула по типу диареи);
  • аллергическая сенсибилизация (крапивница, изолированный кожный зуд);
  • желтуха (при обструкции билиарного тракта);
  • увеличение размеров печени (проявляется тянущими болями в правом подреберье, усиливающимися при наклонах туловища вперёд);
  • снижение массы тела;
  • повышение температуры тела до субфебрильных цифр (37-38 градусов).

При значительном размере кист возможно нарушение функций органа и развитие печёночной энцефалопатии.

Печеночная энцефалопатия развивается в следствие накопления токсинов, которые пагубно влияют на работу головного мозга. Без правильного лечения такое состояние заканчивается смертельным исходом.

При значительной физической нагрузке, при постоянном нахождении человека в согнутом положении, а иногда и беспричинно киста может лопнуть. Разрыв сопровождается:

  • выраженным болевым синдромом;
  • снижением давления;
  • увеличением частоты сокращений сердца;
  • бледностью кожных покровов.

При развитии печеночной недостаточности с энцефалопатией, при разрыве кисты или ее инфицировании возможен летальный исход.

Частые вопросы по теме

Что представляет собой киста печени?

Киста печени — это полость, наполненная жидкостью, которая может образоваться в тканях печени. Она является доброкачественным и неопухолевым образованием.

Какие факторы могут вызвать появление кисты печени?

Появление кисты печени может быть вызвано различными факторами. Одной из наиболее распространенных причин является врожденная аномалия, при которой кисты образуются в процессе развития плода. Кроме того, кисты могут возникать из-за воспаления, травмы, инфекционных заболеваний или опухолей печени.

Какие симптомы сопровождают кисту печени?

Признаки цисты печени могут быть дифференцированными и зависят от его величины и положения. Некоторые пациенты могут не испытывать никаких симптомов, тогда как у других могут возникать боли в правом верхнем квадранте живота, ощущение давления, увеличение размера живота, тошнота, рвота, желтушка и другие симптомы.

Может ли киста печени прогрессировать или исчезнуть самостоятельно?

Киста печени может продвигаться вперед и расти, особенно если возникли воспалительные процессы или зараженные осложнения. Однако она также может исчезнуть сама по себе или оставаться неизменной без видимых причин.

Какие методы диагностики применяются для обнаружения кисты печени?

Для распознавания кисты печени врачи пользуются различными методами диагностики: ультразвуковым исследованием, компьютерной томографией, магнитно-резонансной томографией и биопсией печени. В зависимости от клинической ситуации и результатов предварительных исследований врач выбирает подходящий метод.

Каковы возможные осложнения кисты печени?

Осложнения, связанные с кистой печени, могут включать различные проблемы: инфекцию органа, кровотечение, внутрикистозное кровоизлияние, проникновение содержимого кисты в брюшную полость, снижение функции печени и даже развитие рака. В некоторых ситуациях может потребоваться хирургическое вмешательство.

Можно ли вылечить кисту печени без операции?

В некоторых случаях, киста печени может быть излечена без необходимости проведения хирургического вмешательства. Если киста небольшого размера и не вызывает никаких симптомов, врач может предложить просто наблюдение и контрольный ультразвук через определенное время. В некоторых случаях также применяются методы лекарственной терапии, такие как склерозирование или аспирация кисты.

Когда следует обратиться к врачу при подозрении на кисту печени?

Если у вас возникли подозрения о наличии кист печени или вы ощутили характерные признаки, то обязательно стоит обратиться к врачу для проведения диагностики. Своевременное обращение к медицинскому специалисту позволит выявить и начать лечение кисты печени на самом раннем этапе, что значительно повышает вероятность полного выздоровления.

Каковы методы лечения кисты печени?

Возможные методы лечения кисты печени могут быть разделены на консервативные и хирургические подходы. Консервативное лечение предусматривает применение лекарственных препаратов, направленных на сокращение размеров кисты и снятие симптомов, а также облегчение состояния пациента. Хирургические методы лечения включают операции, которые проводятся с использованием лапароскопического доступа или через открытый доступ в районе печени.

Может ли киста печени вернуться после лечения?

После успешного удаления кисты печени она обычно не возвращается. Однако в некоторых случаях, особенно при наличии нескольких кист, возможно рецидивирование заболевания. Поэтому необходимо регулярно посещать врача и проходить контрольные обследования для своевременного обнаружения и лечения рецидивов.

Как можно предотвратить появление кисты печени?

Избежать появления кисты в печени невозможно, потому что биологические и другие факторы возникновения кисты не всегда предотвратимы. Однако периодический осмотр органов брюшной полости, включая печень, может помочь обнаружить кисты на ранней стадии и предпринять своевременные меры для лечения, если они появятся.

УЗИ

Наиболее часто гемангиомы выявляются при ультразвуковом исследовании (УЗИ) печени, чему способствует сочетание доступности и простоты метода с высокой разрешающей способностью.

Размеры полостей в капиллярных гемангиомах находятся за пределами разрешающей возможности КТ и ультразвуковых сканеров, поэтому структура таких опухолей представляется однородной, а множественные перегородки обеспечивают гиперэхогенность при УЗИ. Нередко за гемангиомой наблюдается усиление звука. До 20% гемангиом имеют атипичную эхоструктуру, которая проявляется или пониженным, или равнозначным отражением звука по отношению к нормальной паренхиме печени.

Крупные полости кавернозных гемангиом отчетливо дифференцируются при УЗИ. Кроме того, в опухоли по мере роста происходят внутренние кровоизлияния с исходом в гиалиноз, а также тромбоз, фиброз. Реже наблюдается отложение извести. Все эти изменения обеспечивают неоднородность структуры крупных опухолей, проявляющуюся гипо- и анэхогенными участками различного размера и конфигурации.

Симптомы

Небольшие одиночные кисты печени, как правило, не имеют клинических проявлений. Симптоматика чаще развивается при достижении кистой размера 7-8 см, а также при поражении множественными кистами не менее 20 % объема печеночной паренхимы.  В этом случае отмечается чувство распирания и тяжести в правом подреберье и эпигастрии, которые усиливаются после еды или нагрузки. На фоне увеличения кисты печени развиваются диспепсические явления: отрыжка, тошнота, рвота, метеоризм, понос. Среди прочих неспецифических симптомов, сопровождающих развитие кисты печени, отмечают слабость, потерю аппетита, повышенную потливость, одышку, субфебрилитет.

Гигантские кисты печени вызывают асимметричное увеличение живота, гепатомегалию, похудание, желтуху. В ряде случаев киста пальпаторно определяется через переднюю брюшную стенку в виде тугоэластического флюктуирующего безболезненного образования в правом подреберье.

Осложненное течение кисты печени развивается при кровоизлиянии в ее стенку или полость, нагноении, перфорации, перекруте ножки кисты, злокачественном перерождении. При геморрагии, разрыве кисты или прорыве ее содержимого в прилежащие органы развивается острый приступ абдоминальных болей. В этих случаях высока вероятность кровотечения в брюшную полость, перитонита. При сдавлении расположенных рядом желчных протоков появляется желтуха, а при инфицировании – образуется абсцесс печени.

Метеоризм. Одышка. Отрыжка. Отсутствие аппетита. Понос (диарея). Потливость. Рвота. Тошнота. Тухлая отрыжка.

Диагностика

Доброкачественные новообразования печени выявляются или в ходе обследования по поводу другой патологии, или при достижении образованием больших размеров, сдавлении соседних органов или нарушении кровотока. Консультация гастроэнтеролога позволяет выяснить, как давно появились жалобы на ощущение тяжести, есть ли болевой синдром, как быстро развивалась клиническая картина. При объективном обследовании пациента врач может выявить увеличение размеров печени (гепатомегалию) с пальпируемым неровным краем.

Общий анализ крови обычно не обнаруживает никаких отклонений от нормы. В печеночных пробах может определяться незначительное повышение маркеров цитолиза и холестаза (щелочной фосфатазы, АлТ, АсТ, ЛДГ, билирубина). Обязательно проводится определение в крови специфических онкомаркеров: альфа-фетопротеина, антигена СА 19-9 и раково-эмбрионального антигена. Отсутствие повышения их концентрации свидетельствует в пользу доброкачественной природы заболевания.

Основную роль в диагностике играют инструментальные методы исследования. УЗИ органов брюшной полости позволяет визуализировать образование, определить его размеры, границы, оценить состояние соседних органов. Выявляются единичные или множественные четко ограниченные гиперэхогенные очаги. Под ультразвуковым контролем проводится пункционная биопсия печени с последующим морфологическим исследованием биоптатов. Данный метод позволяет определить тип опухолевых клеток, степень их дифференцировки и отличить от злокачественной патологии.

Компьютерная томография и МРТ печени и желчевыводящих путей обладают высокой информативностью, поскольку дают возможность определить образования даже малых размеров, оценить характер их роста, отсутствие прорастания в окружающие ткани и метастазирования в регионарные лимфатические узлы и отдаленные области.

При подозрении на гемангиому печени проводится ангиография (оцениваются особенности кровотока в образовании, устанавливается связь опухоли с сосудами печени), а также допплерография фокального образования.

Желчнокаменная болезнь и ее классификация по МКБ

Желчнокаменная болезнь (ЖКБ) является одним из наиболее распространенных заболеваний печени. Она характеризуется образованием камней в желчном пузыре или желчных протоках, что приводит к нарушению оттока желчи и возникновению различных симптомов.

Международная классификация болезней (МКБ) является системой, которая используется для классификации и кодирования различных заболеваний. Желчнокаменная болезнь также имеет свою классификацию по МКБ. Вот некоторые из кодов, которые используются для классификации ЖКБ:

Код/Описание

K80.0 Калькулезный холецистит
K80.1 Калькулезный холангит
K80.2 Калькулезная желчнокаменная болезнь без холецистита
K80.3 Калькулезная желчнокаменная болезнь без холангита
K80.4 Калькулезная желчнокаменная болезнь с холециститом и холангитом

Это лишь некоторые из кодов, которые используются для классификации ЖКБ по МКБ. Каждый код соответствует определенному типу или стадии болезни и используется для ее идентификации и документирования в медицинских записях.

Использование классификации по МКБ позволяет упростить обмен информацией между медицинскими учреждениями и исследователями, а также облегчает статистический анализ распространенности и тенденций заболеваемости ЖКБ.

Диагностика и лечение новообразования

В подавляющем большинстве случаев киста печени, лечение которой необходимо, идентифицируется случайно в рамках планового УЗИ. Не менее результативными могут оказаться такие обследования, как МРТ и КТ, после проведения которых возможно начало восстановительного процесса, если, по мнению специалиста, в этом есть необходимость.

Показаниями к проведению операционного вмешательства в отношении кист печени следует считать определенные осложнения. В этом случае речь идет о кровотечении, разрыве или, например, нагноении. В обязательном порядке должно быть осуществлено удаление большой и гигантской кисты (до 10 см и больше, код по МКБ-10 которых также известен). Не следует забывать о таком факторе, как давление желчных путей с дестабилизацией оттока желчи.

Не менее значимым фактором вследствие возникновения кисты является компрессия целостной системы воротной вены с формированием портальной гипертензии, которую усугубляют отрицательные симптомы. Также хирургическое вмешательство требуется при выраженной клинической симптоматике, которая в значительной мере усугубляет качество жизни. Не менее серьезным диагнозом следует считать рецидивы новообразования в области печени после попытки аспирации пункционного типа.

Помимо этого, все, кто задается вопросом, как лечить кисту печени (код по МКБ-10 которой известен), должны учитывать, что терапия в отношении паразитарных формирований является особенной. Она осуществляется под наблюдением таких специалистов, как инфекционист или паразитолог, которые знают совершенно все про доли печени.

В целом, все оперативные методики, осуществляемые в связи с кистами печени, могут оказаться радикальными, условно-радикальными и паллиативными. Например, к первым методам воздействия при солитарных кистах причисляют резекцию печени, в то время как при поликистозе речь идет о трансплантации органа. Однако для того, чтобы точно знать, как лечить кисту печени, следует предварительно проконсультироваться со специалистом.

Таким образом, киста в области печени, код по МКБ-10 которой известен, может и должна подвергаться соответствующему лечению исключительно в том случае, если серьезно увеличивается в размерах или провоцирует болезненные симптомы. Это необходимо для того, чтобы можно было говорить о сохранении процессов жизнедеятельности и исключении развития осложнений.

Клиническая картина аденомы

Аденомы печени представляют собой доброкачественные опухоли, возникающие из печеночных клеток или эпителиальных клеток желчных протоков.

В зависимости от их строения различают:

  • • доброкачественную гепатому, исходящую из печеночных клеток.
  • • доброкачественную холангиому, исходящую из эпителия желчных протоков.
  • • доброкачественную аденому смешанного строения — гепатохолангиому.

Макроскопически аденомы печени имеют вид круглых сероватых или темно-красных образований различных размеров, располагающихся под капсулой или в толще печени, и могут быть одиночными или множественными. Микроскопически холангиомы подразделяют на опухоли солидного типа, тубулярного типа и цистаденомы.

Аденомы солидного и тубулярного типов обычно не достигают больших размеров, тогда как цистаденомы могут достигать значительной величины и склонны к злокачественному перерождению.

Гепатомы могут быть представлены в виде простой дизэмбриомы печени, инкапсулированной и с четким дольчатьм строением, либо в виде трабекулярной аденомы, где клеточные пластинки лишены долькового расположения и опухоль не имеет собственной капсулы.

Последние потенциально активны и склонны к злокачественному перерождению. В последнее время аденомы печени все чаще описываются у женщин после длительного применения пероральных стероидных контрацептивов.

Киста на печени: причины и симптомы

Причины возникновения кист на печени могут быть разными. Одной из наиболее распространенных причин является врожденная аномалия, при которой печеночные клетки не смогут развиваться правильно, что приводит к образованию кист. Кисты на печени также могут возникать в результате травмы или инфекционного заболевания.

Симптомы кисты на печени зависят от ее размера и местоположения. Маленькие кисты обычно не вызывают симптомов и могут быть обнаружены случайно при проведении обследований. Однако, большие кисты могут вызывать давящие или тянущие боли в правом верхнем квадранте живота, тошноту, рвоту, желтуху или жировой гепатоз. В редких случаях, киста на печени может привести к повреждению печеночных тканей и развитию осложнений, таких как инфекция или кровотечение.

Для диагностики кисты на печени может потребоваться проведение различных исследований, включая ультразвук, компьютерную томографию или магнитно-резонансную томографию. В большинстве случаев, лечение кисты на печени не требуется, особенно если она не вызывает симптомов и не растет в размерах. Однако, при наличии симптомов или осложнений, может потребоваться хирургическое вмешательство для удаления кисты.

В целом, киста на печени – это доброкачественное образование, которое чаще всего не представляет угрозы для жизни. Однако, при наличии симптомов или увеличении размера кисты, необходимо обратиться к врачу для получения консультации и назначения необходимого лечения.

Ультразвуковая контрастная допплерография

Для дифференциальной диагностики гемангиом представляется весьма перспективным применение ультразвуковой контрастной допплерографии. Фармакокинетика контрастного усиления и интерпретация получаемого изображения при УЗИ идентична таковым при болюсном контрастировании при КТ: это интенсивное периферическое окрашивание извитых и лакунарно расширенных сосудов в артериальную фазу и пролонгированное окрашивание центральной части опухоли. В маленьких образованиях чаще отмечается точечное накопление контрастного вещества. Убедительным дифференциально-диагностическим признаком является визуализация питающего сосуда, который легче обнаруживается при У3-ангиографии.

Алкогольное поражение печени и его классификация по МКБ

Алкогольное поражение печени является одной из наиболее распространенных причин заболеваний печени. Длительное и чрезмерное употребление алкоголя может привести к различным патологиям и повреждениям печени, включая алкогольную жировую болезнь, алкогольный гепатит и цирроз печени.

Международная классификация болезней (МКБ) предоставляет систему кодирования и классификации заболеваний, включая алкогольное поражение печени. В МКБ-10 алкогольное поражение печени классифицируется в разделе XI под кодами K70-K77.

Классификация алкогольного поражения печени по МКБ-10:

  1. К70 — Алкогольная жировая болезнь печени (стеатогепатит).
  2. К71 — Алкогольный гепатит.
  3. К72 — Другие хронические гепатиты.
  4. К73 — Хронический гепатит, неуточненный.
  5. К74 — Фиброз и цирроз печени.
  6. К75 — Другие воспалительные болезни печени.
  7. К76 — Другие болезни печени.
  8. К77 — Поражение печени после медицинских процедур, не классифицированное в других рубриках.

Коды МКБ позволяют идентифицировать и классифицировать различные формы алкогольного поражения печени для целей диагностики, статистики и исследований. Они также помогают врачам и медицинскому персоналу установить правильный диагноз и определить оптимальное лечение для пациентов с алкогольным поражением печени.

Ссылка на основную публикацию
Похожие публикации